Skip Menu
Continue
  • 2710 Crossroads Plaza Drive,
  • Columbus, OH 43219

Office Hours: Monday - Thursday 9:00am - 5:00pm

  • About
    • Our Office
    • Meet Dr. Bell
    • Meet the Team
    • Google Reviews
    • Smile Gallery
    • Dental Videos
    • Testimonials
  • In the Community
  • New Patients
  • Dental Health
    • Services
    • Dental Library
  • COVID-19 Updates
  • Dental Insurance
  • Payment Portal
  • Flexible Financing
  • Contact
    • Contact Us
    • Request Appointment

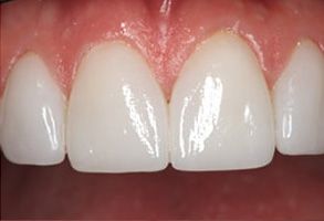
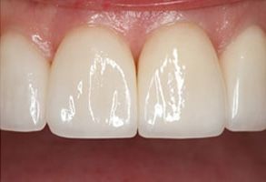
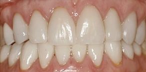
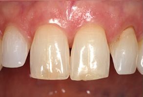
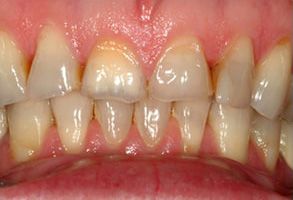
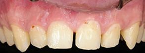
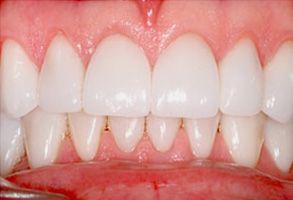
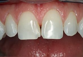
Smile Gallery

Additional Information

Our Location

2710 Crossroads Plaza Drive
Columbus, OH 43219
(614) 471-1161
Fax: (614) 532-7282

Follow Us

Top Rated badge